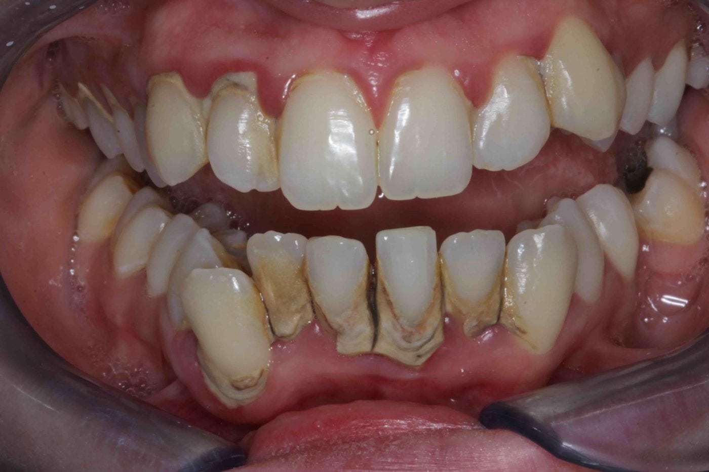
Can You Have Veneers With Gum Disease Uk . Your gums become swollen, and it is often painful. gingival veneers are acrylic veneers that cover lost gum tissue and make teeth look shorter. Gum disease can affect the fit, bond and lifespan of the veneers, so it is essential. gum disease is the leading cause of premature tooth loss in adults in the uk. you can only get veneers after treating gum disease and controlling the infection by maintaining proper oral hygiene. Learn how they can improve your. cosmetically, your best options might be veneers, which can reduce the appearance of receding gums; Gum veneers have been clinically used for over 50 years and are a predictable, inexpensive, noninvasive, effective, and aesthetically pleasing way of replacing lost gum tissue. the answer is no, you cannot get veneers if you have periodontal disease. learn how dental veneers can improve your smile by changing tooth colour, shape, alignment and more.
from gallionsreachdentalclinic.co.uk
the answer is no, you cannot get veneers if you have periodontal disease. Learn how they can improve your. learn how dental veneers can improve your smile by changing tooth colour, shape, alignment and more. Gum veneers have been clinically used for over 50 years and are a predictable, inexpensive, noninvasive, effective, and aesthetically pleasing way of replacing lost gum tissue. Your gums become swollen, and it is often painful. you can only get veneers after treating gum disease and controlling the infection by maintaining proper oral hygiene. gingival veneers are acrylic veneers that cover lost gum tissue and make teeth look shorter. gum disease is the leading cause of premature tooth loss in adults in the uk. cosmetically, your best options might be veneers, which can reduce the appearance of receding gums; Gum disease can affect the fit, bond and lifespan of the veneers, so it is essential.
Gum Disease Treatment in London GRDC
Can You Have Veneers With Gum Disease Uk cosmetically, your best options might be veneers, which can reduce the appearance of receding gums; Gum veneers have been clinically used for over 50 years and are a predictable, inexpensive, noninvasive, effective, and aesthetically pleasing way of replacing lost gum tissue. Learn how they can improve your. learn how dental veneers can improve your smile by changing tooth colour, shape, alignment and more. Gum disease can affect the fit, bond and lifespan of the veneers, so it is essential. you can only get veneers after treating gum disease and controlling the infection by maintaining proper oral hygiene. the answer is no, you cannot get veneers if you have periodontal disease. Your gums become swollen, and it is often painful. gingival veneers are acrylic veneers that cover lost gum tissue and make teeth look shorter. cosmetically, your best options might be veneers, which can reduce the appearance of receding gums; gum disease is the leading cause of premature tooth loss in adults in the uk.
From www.pinterest.com
Pin on Dental Education Can You Have Veneers With Gum Disease Uk Learn how they can improve your. gingival veneers are acrylic veneers that cover lost gum tissue and make teeth look shorter. gum disease is the leading cause of premature tooth loss in adults in the uk. Gum disease can affect the fit, bond and lifespan of the veneers, so it is essential. Your gums become swollen, and it. Can You Have Veneers With Gum Disease Uk.
From www.mulberrydental.co.uk
Dental Veneers Surrey Chipped & Broken Teeth Treatment Can You Have Veneers With Gum Disease Uk Gum disease can affect the fit, bond and lifespan of the veneers, so it is essential. Learn how they can improve your. the answer is no, you cannot get veneers if you have periodontal disease. you can only get veneers after treating gum disease and controlling the infection by maintaining proper oral hygiene. gum disease is the. Can You Have Veneers With Gum Disease Uk.
From www.apexprofoundbeauty.com
Dental Veneers Apex Profound Beauty Can You Have Veneers With Gum Disease Uk gingival veneers are acrylic veneers that cover lost gum tissue and make teeth look shorter. cosmetically, your best options might be veneers, which can reduce the appearance of receding gums; the answer is no, you cannot get veneers if you have periodontal disease. gum disease is the leading cause of premature tooth loss in adults in. Can You Have Veneers With Gum Disease Uk.
From www.springvaledental-srp.com.au
How to know if you have gum diseases? Symptoms, Causes, Treatment Can You Have Veneers With Gum Disease Uk Your gums become swollen, and it is often painful. you can only get veneers after treating gum disease and controlling the infection by maintaining proper oral hygiene. learn how dental veneers can improve your smile by changing tooth colour, shape, alignment and more. Gum veneers have been clinically used for over 50 years and are a predictable, inexpensive,. Can You Have Veneers With Gum Disease Uk.
From www.drwilliammckenzie.com
The Five Stages of Gum Disease — The McKenzie Center Implants Can You Have Veneers With Gum Disease Uk gingival veneers are acrylic veneers that cover lost gum tissue and make teeth look shorter. Gum disease can affect the fit, bond and lifespan of the veneers, so it is essential. cosmetically, your best options might be veneers, which can reduce the appearance of receding gums; Gum veneers have been clinically used for over 50 years and are. Can You Have Veneers With Gum Disease Uk.
From www.glebehousedentalcare.co.uk
Gum Disease Glebe House Dental Care Dentist Can You Have Veneers With Gum Disease Uk the answer is no, you cannot get veneers if you have periodontal disease. gingival veneers are acrylic veneers that cover lost gum tissue and make teeth look shorter. Learn how they can improve your. Gum disease can affect the fit, bond and lifespan of the veneers, so it is essential. you can only get veneers after treating. Can You Have Veneers With Gum Disease Uk.
From dxoappqkd.blob.core.windows.net
Veneers Western Dental at Larry Paddock blog Can You Have Veneers With Gum Disease Uk Your gums become swollen, and it is often painful. Gum disease can affect the fit, bond and lifespan of the veneers, so it is essential. gingival veneers are acrylic veneers that cover lost gum tissue and make teeth look shorter. gum disease is the leading cause of premature tooth loss in adults in the uk. Learn how they. Can You Have Veneers With Gum Disease Uk.
From www.southtrailcrossingdental.com
Everything You Need to Know About Gum Disease South Trail Crossing Dental Can You Have Veneers With Gum Disease Uk the answer is no, you cannot get veneers if you have periodontal disease. gingival veneers are acrylic veneers that cover lost gum tissue and make teeth look shorter. Gum veneers have been clinically used for over 50 years and are a predictable, inexpensive, noninvasive, effective, and aesthetically pleasing way of replacing lost gum tissue. gum disease is. Can You Have Veneers With Gum Disease Uk.
From gallionsreachdentalclinic.co.uk
Gum Disease Treatment in London GRDC Can You Have Veneers With Gum Disease Uk gingival veneers are acrylic veneers that cover lost gum tissue and make teeth look shorter. learn how dental veneers can improve your smile by changing tooth colour, shape, alignment and more. Gum veneers have been clinically used for over 50 years and are a predictable, inexpensive, noninvasive, effective, and aesthetically pleasing way of replacing lost gum tissue. Gum. Can You Have Veneers With Gum Disease Uk.
From explaincare.com
Can You Get Veneers With Gum Disease? Truth Behind It! Explaincare Can You Have Veneers With Gum Disease Uk gingival veneers are acrylic veneers that cover lost gum tissue and make teeth look shorter. gum disease is the leading cause of premature tooth loss in adults in the uk. the answer is no, you cannot get veneers if you have periodontal disease. you can only get veneers after treating gum disease and controlling the infection. Can You Have Veneers With Gum Disease Uk.
From www.cranbournenorthdental.com.au
Gum Disease How can I tell? Cranbourne North Dental Can You Have Veneers With Gum Disease Uk Gum veneers have been clinically used for over 50 years and are a predictable, inexpensive, noninvasive, effective, and aesthetically pleasing way of replacing lost gum tissue. cosmetically, your best options might be veneers, which can reduce the appearance of receding gums; Gum disease can affect the fit, bond and lifespan of the veneers, so it is essential. gum. Can You Have Veneers With Gum Disease Uk.
From www.doctorrichardlondon.com
Can you get veneers if you have gum disease? Doctor Richard Clinics Can You Have Veneers With Gum Disease Uk you can only get veneers after treating gum disease and controlling the infection by maintaining proper oral hygiene. gingival veneers are acrylic veneers that cover lost gum tissue and make teeth look shorter. gum disease is the leading cause of premature tooth loss in adults in the uk. cosmetically, your best options might be veneers, which. Can You Have Veneers With Gum Disease Uk.
From dentistspreston.com
Porcelain Veneers or Braces? Make the Right Choice Can You Have Veneers With Gum Disease Uk the answer is no, you cannot get veneers if you have periodontal disease. learn how dental veneers can improve your smile by changing tooth colour, shape, alignment and more. Gum disease can affect the fit, bond and lifespan of the veneers, so it is essential. cosmetically, your best options might be veneers, which can reduce the appearance. Can You Have Veneers With Gum Disease Uk.
From darchdental.com.au
Can You Get Dental Veneers If You Have Gum Disease? How Can You Be a Can You Have Veneers With Gum Disease Uk Your gums become swollen, and it is often painful. learn how dental veneers can improve your smile by changing tooth colour, shape, alignment and more. Gum veneers have been clinically used for over 50 years and are a predictable, inexpensive, noninvasive, effective, and aesthetically pleasing way of replacing lost gum tissue. cosmetically, your best options might be veneers,. Can You Have Veneers With Gum Disease Uk.
From www.tuxedodental.ca
Periodontal Disease (Gum Disease) Tuxedo Dental Group Can You Have Veneers With Gum Disease Uk Learn how they can improve your. Gum disease can affect the fit, bond and lifespan of the veneers, so it is essential. Your gums become swollen, and it is often painful. Gum veneers have been clinically used for over 50 years and are a predictable, inexpensive, noninvasive, effective, and aesthetically pleasing way of replacing lost gum tissue. cosmetically, your. Can You Have Veneers With Gum Disease Uk.
From www.limelightdental.ca
5 Signs You May Have Receding Gums And Treatment Options Lime Light Can You Have Veneers With Gum Disease Uk learn how dental veneers can improve your smile by changing tooth colour, shape, alignment and more. Your gums become swollen, and it is often painful. you can only get veneers after treating gum disease and controlling the infection by maintaining proper oral hygiene. gingival veneers are acrylic veneers that cover lost gum tissue and make teeth look. Can You Have Veneers With Gum Disease Uk.
From www.haddaddental.com
What Are Dental Veneers? Everything to Know About Cosmetic Dentistry Can You Have Veneers With Gum Disease Uk you can only get veneers after treating gum disease and controlling the infection by maintaining proper oral hygiene. gum disease is the leading cause of premature tooth loss in adults in the uk. cosmetically, your best options might be veneers, which can reduce the appearance of receding gums; Learn how they can improve your. the answer. Can You Have Veneers With Gum Disease Uk.
From www.faceliftdentistry.com
Dental Veneers to Widen the Smile Can You Have Veneers With Gum Disease Uk Gum veneers have been clinically used for over 50 years and are a predictable, inexpensive, noninvasive, effective, and aesthetically pleasing way of replacing lost gum tissue. gum disease is the leading cause of premature tooth loss in adults in the uk. the answer is no, you cannot get veneers if you have periodontal disease. you can only. Can You Have Veneers With Gum Disease Uk.